В Красноярском крае - вспышка описторхоза
В Красноярском крае резко возросла заболеваемость описторхозом.
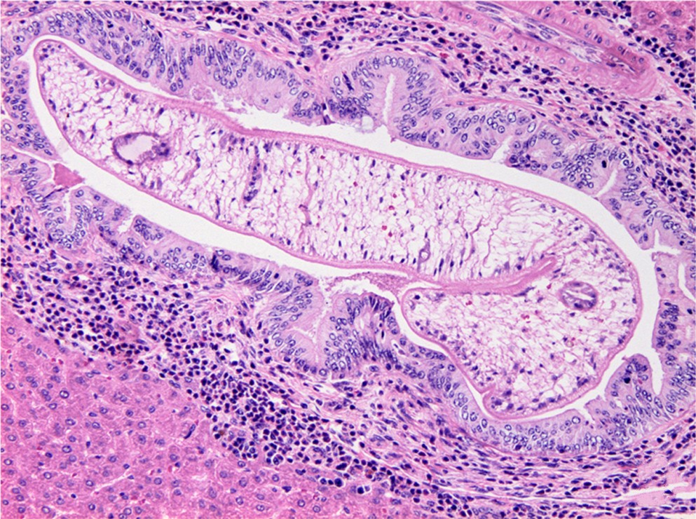
Заболевание вызывается паразитическими плоскими червями - сибирской двуусткой. Заражение происходит при приеме в пищу сырой или недостаточно термически обработанной речной рыбы.
За прошедшие полгода 2016 года уже зарегистрировано 793 случая описторхоза. Показатель заболеваемости составил 27,74 случаев на 100 тысяч населения, что выше уровня 2015 года на 12,2%.
Заражение описторхозом происходит при употреблении в пищу малосоленой рыбы карповых пород, в основном ельца и карпа, плотвы и сороги, леща. Эту рыбу ловят Чулыме, Ангаре и Бирюсе, а также глубоких заводях Енисея.
В большинстве случаев заболевшие либо употребляли в пищу рыбу, пойманную и приготовленную самостоятельно, либо купленную в несанкционированных местах.
Заболевание может быть как острым, так и хроническим, в том числе протекать годами без выраженной острой стадии. Больные жалуются на чувство тяжести, распирания в надчревной области, снижение аппетита, рвоту, боль в правом подреберье. Постепенно формируется хронический гепатит. Хронический описторхоз может сопровождаться развитием цирроза печени и гепатоцеллюлярной карциномы - опасного онкологического заболевания. Часто наблюдаются боли опоясывающего характера с отдачей в левую половину грудной клетки, спину, левое плечо, головная боль, головокружение, нарушение сна.
Личинки сибирской двуустки гарантированно убивает глубокая заморозка до минус 40 градусов на срок не менее 7 часов.
Новости Красноярского края - в Вайбере. Только эксклюзив! Подписывайтесь!




_04221212_b.jpg)
















